Skip to main content
Fish Pathogens

Main navigation

  • Image Galleries
  • Pathogens
    • 10 Common Pathogens
    • What's That Spot?
  • Ask an Expert
  • FAQ
  • Search
User account menu
  • Log in

Primary tabs

  • Common Pathogens
  • All Pathogens
  • Hosts
  • Field Sites
  • Videos
  • Contributed

All Pathogens

These are all of the pathogen images in our database. Click a pathogen name to jump to the pathogen info page. Click an image to enlarge it, then use the left and right arrows to browse.
Salmincola
Numerous Salmincola copepods on gills of rainbow trout
Gyrodactylus
Adult Gyrodactylus.
Gloch…
Larval molluscs (glochidia) on gills of salmon.
Myxobolus cerebrali…
Myxobolus cerebralis developing in head cartilage.
Trematodes (fluk…
Bluegill heart with white trematode metacercariae.
Ceratonova shasta
Fish liver showing pale lesions due to C. shasta infection.
EIBS
Stained blood smear showing characteristic EIBS inclusion bodies.
Ichthyo…
Ich in fish skin section, acid fast stain.
Salmincola
Salmincola adults on gills of salmon.
Apiosoma
Signs of Apiosoma: pale patches and spots
Neascus
Immature Neascus encysted in fin.
Fungi and fun…
Fungal lesion on largescale sucker
V…
Electron micrograph of VHSV particles
Myxobolus cerebrali…
Healthy rainbow trout (top) compared with those infected with M. cerebralis.
Proteocephalus
Visceral adhesions due to Proteocephalus ambloplitis.
Salmincola
Salmincola adults on gills of salmon.
Trematodes (fluk…
Trematode metacercariae within gill filaments.
Trichodina
Trichodina.
…
Kidney necrosis and inflammation caused by Renibacterium salmoninarum.
Trematodes (fluk…
Bluegill heart with white trematode metacercariae.
Philonema
Philonema nematodes in mesenterial membranes of trout.
Copepods
Copepod egg sack.
Nanophyetus
Metacercaria of Nanophyetus and an unknown trematode in fresh tissue squash.
White Sturgeon…
Kidney tissue infected with virus
White Sturgeon…
Gill tissue infected with virus
Ichthyo…
Heavy infestation of Ichthyophthirius.
Salvelinema walkeri…
Adult Salvelinema nematodes in muscle of host.
Ichthyophonus
Tissue section showing Ichthyophonus.
Gyrodactylus
Adult Gyrodactylus.
Copepods
Sealice and feeding scars on skin of salmon.
Gyrodactylus
Adult Gyrodactylus.
Ichthyo…
Heavy infestation of Ichthyophthirius.
Anisakis
Anisakis simplex nematode.
Loma
Loma cyst in gill filament.
Copepods
Adult sea lice (copepods) on gills of salmon.
Aeromonas salmonic…
Aeromonas damage to kidney tissue.
Nitzschia sturionis…
Adult trematode from gill of sturgeon.
Myxobolus cerebrali…
Pansporocysts of M. cerebralis actinospores developing in gut wall of worm host.
Salmincola
Salmincola adults on gills of trout.
Bacteria
Large carp with lesion on tail.
…
Chinook salmon with inflamed kidney due to BKD.
Neoechinorhynchus s…
Proboscis of female Neoechinorhynchus sp.
Ichthyobodo
Ichthyobodo in Chinook gill section.
Ceratonova shasta
Fish liver showing dark red lesions due to C. shasta infection.
Loma
Loma cyst in gill filament.
Lepeophtheirus s…
Adult sea lice on fish skin.
Fungi and fun…
Severe fungal infection in skin of steelhead.
Echinorhynchus gadi…
Echinorhynchus gadi.
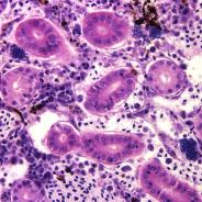
Posthodiplo…
Kidney heavily infected with Posthodiplostomum minimum(pale spots)
Oncorhynchus ma…
Clinical signs of OMV

Pagination

  • Previous page
  • 3
  • Next page
RSS feed

Footer

  • Data Collection
  • Disclaimer