Skip to main content
Fish Pathogens

Main navigation

  • Image Galleries
  • Pathogens
    • 10 Common Pathogens
    • What's That Spot?
  • Ask an Expert
  • FAQ
  • Search
User account menu
  • Log in

Primary tabs

  • Common Pathogens
  • All Pathogens
  • Hosts
  • Field Sites
  • Videos
  • Contributed

All Pathogens

These are all of the pathogen images in our database. Click a pathogen name to jump to the pathogen info page. Click an image to enlarge it, then use the left and right arrows to browse.
Salvelinema walkeri…
Adult Salvelinema nematodes in muscle of host.
Ichthyobodo
Ichthyobodo in fish skin smear.
Ichthyo…
Ichthyopterius.
Ceratonova shasta
Ceratomyxa shasta myxospores developing in intestinal wall.
…
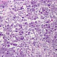
Kidney necrosis and inflammation caused by Renibacterium salmoninarum.
Echinorhynch…
Female Echinorhynchus lageniformis.
Apiosoma
Signs of Apiosoma: pale patches and spots
Trichophrya
Trichophyra on gills.
Bothriocephalus sp.…
Bothriocephalus sp.
Aeromonas salmonic…
Red patches (furunculosis) caused by Aeromonas infection.
Henneguya salminic…
Henneguya cysts from muscle tissue.
Ambiphrya
Ambiphrya.
Clinostomum (Yel…
Clinostomum metacercaria after emerging from the fish host.
non-pa…
Lure from stomach of smallmouth bass.
Flav…
Partly dissected Koi carp.
Trematodes (fluk…
Trematode metacercaria from coho kidney.
Nematodes (round w…
Coiled nematode worm.
Ceratonova shasta
Ceratomyxa shasta actinospores, fresh from polychaete host.
Tumor-like lumps
Tumors on lips of adult spring Chinook salmon.
…
Filamentous flavobacteria on surface of gill.
Trematodes (fluk…
Metacercariae behind eyes of threespine stickleback.
Tumor-like lumps
Tumors on lips of spring Chinook salmon.
Clinostomum (Yel…
Yellow grub in flesh of bluegill.
Cryptobia salmosit…
Stained blood smear showing the hemoflagellate Cryptobia salmositica.
Diphyllob…
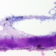
Diphyllobothrium plerocercoids on gut of fish.
Vibrio
Blue eye - characteristic of Aeromonas infection (Furunculosis).
Echinochasmus
Developing Echinochasmus in gills of Oregon chub.
Flav…
Flavobacterium (thin filaments) adhering to fish skin.
Trematodes (fluk…
Trematode metacercarium in gills.
Ichthyobodo
Ichthyobodo in Chinook gill section.
Ceratonova shasta
Fish intestine showing swelling and pale lesions due to C. shasta infection
Trematodes (fluk…
Stickleback with eyes grossly distended due to trematode metacercariae.
Fungi and fun…
Fungal lesion on largescale sucker
Myxobolus cerebrali…
Rainbow trout infected with M. cerebralis.
White Sturgeon…
Gill tissue infected with virus
Salmincola
Adult Salmincola removed from surface of fish.
Bacteria
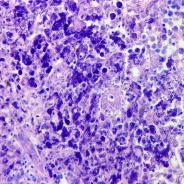
Liver damage caused by Piscirickettsia salmonis.
…
RTG-2 cells inoculated with IPNV
Neascus
Black spots on fin are Neascus.
Clinostomum (Yel…
Yellow grub at base of dorsal fin of smallmouth bass.
non-pa…
Trematodes (fluk…
Bluegill heart with white trematode metacercariae (annotated).
Trematodes (fluk…
Tissue section showing a trematode metacercaria in steelhead gill filament.
Gloch…
Larval mollusc (glochidium) on gills.
Neascus
Neascus metacercaria surrounded by dark pigment.
Ichthyobodo
Ichthyobodo in fish skin smear.
Ichthyophonus
Histological image showing muscle tissue infected with ichthyophonus.
Trematodes (fluk…
Trematode (Family Heterophyidae) developing within gill filaments.
Trematodes (fluk…
Bluegill with trematode metacercaria (arrowed) in its kidney.
…
Inflamed kidney (at left) due to BKD.

Pagination

  • 1
  • Next page
RSS feed

Footer

  • Data Collection
  • Disclaimer