Skip to main content
Fish Pathogens

Main navigation

  • Image Galleries
  • Pathogens
    • 10 Common Pathogens
    • What's That Spot?
  • Ask an Expert
  • FAQ
  • Search
User account menu
  • Log in

Primary tabs

  • Common Pathogens
  • All Pathogens
  • Hosts
  • Field Sites
  • Videos
  • Contributed

All Pathogens

These are all of the pathogen images in our database. Click a pathogen name to jump to the pathogen info page. Click an image to enlarge it, then use the left and right arrows to browse.
Trematodes (fluk…
Trematode metacercariae .
Rotifers
Lernaea (anchor worm…
Yellow egg sacs of anchor worms.
…
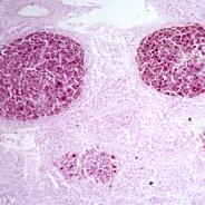
Kidney necrosis and inflammation caused by Renibacterium salmoninarum.
Truttaedacnitis
Mouthparts of a Truttaedacnitis nematode.
Rhadinorhynchus sp.…
Anterior end of Rhadinorhynchus acanthocephalan.
Proteocephalus
Anterior suckers of Proteocephalus plerocercoid.
Aca…
Adult acanthocephalans dissected out of fish host.
Neascus
Immature Neascus.
Loma
Loma cyst in gill filament.
…
RTG-2 cells inoculated with IPNV
Mycobacterium mari…
Mycobacterial lesion in liver.
Myxobolus cerebrali…
Rainbow trout infected with M. cerebralis.
Clinostomum (Yel…
Two Clinostomum metacercariae after emerging from their fish host.
Myxobolus cerebrali…
Rainbow trout infected with M. cerebralis.
Mycobacterium mari…
Tissue section showing mycobacterium lesion in sculpin.
Ichthyophonus
Histological image showing muscle tissue infected with ichthyophonus.
Nanophyetus
Nanophyetus metacercaria in fresh tissue squash.
Proteocephalus
Visceral adhesions due to Proteocephalus ambloplitis.
Philometroides
Philometroides nematodes in tail of sucker.
Cryptobia salmosit…
Stained blood smear showing Cryptobia salmositica.
Ichthyo…
Heavy infestation of Ichthyophthirius.
Ichthyobodo
Ichthyobodo in fish skin smear.
Ichthyobodo
Ichthyobodo on gill filament.
Trematodes (fluk…
Stickleback with eyes grossly distended due to metacercariae.
Loma
Loma cyst in gill filament.
White Sturgeon…
Tissue infected with virus
Bacteria
Goldfish displaying red patch on face due to bacterial infection.
…
Fish kidney showing white lesions caused by renibacterium.
Trypanosomes
Cystidicola
Cystidicola nematodes on swim bladder
Mycobacterium mari…
Tissue section showing mycobacterium lesion in sculpin.
…
Renibacterium visible in histological section.
Myxobolus spores from the gallbladder of redside shiner.
Microsporidian spores.
White Sturgeon…
Kidney tissue infected with virus
Nanophyetus
Nanophyetus metacercaria glow brightly where they let light through a thick tissue squash.
Glugea
Sculpin with white Glugea cysts.
EIBS
Stained blood smear showing characteristic EIBS inclusion bodies.
Fungi and fun…
Fungal lesion on largescale sucker
Trematodes (fluk…
Trematode metacercarium in gills.
Trematodes (fluk…
Fresh tissue squash reveals trematode metacercaria (marked).
Neascus
Immature Neascus encysted in fin.
…
Filamentous flavobacteria on surface of gill.
Cilliates
Cilliate showing lines of cillia (hairs)
Henneguya salminic…
Salvelinema walkeri…
Adult Salvelinema nematodes in muscle of host.
Dermocystidium
Dermocystidium in gills
Ceratonova shasta
Fish liver showing pale lesions due to C. shasta infection.

Pagination

  • Previous page
  • 7
  • Next page
RSS feed

Footer

  • Data Collection
  • Disclaimer