Myxobolus cerebralis

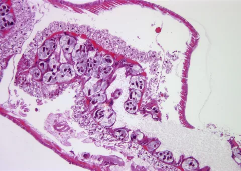
Pansporocysts of M. cerebralis actinospores developing in gut wall of worm host.
Host Tissue
gut / intestine
Photographer / Illustrator
Craig Banner
Pathogen Life Stage
actinospore
pansporocyst
Image Type
H&E
Light Micrograph
Bright Field