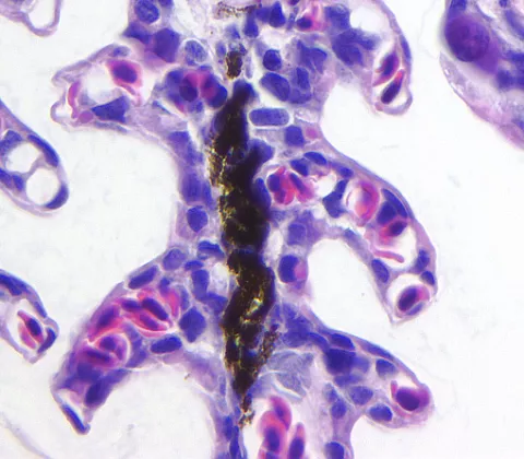
White sturgeon gills infected with virus.Hostwhite sturgeonHost TissuegillsPhotographer / IllustratorTrace PetersonImage TypeH&ELight MicrographBright Field White Sturgeon Iridovirus