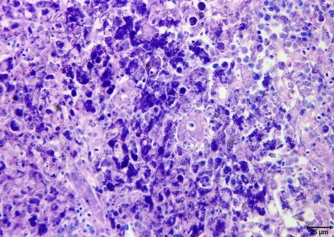
Kidney necrosis and inflammation caused by Renibacterium salmoninarum.Host TissuekidneyPhotographer / IllustratorTrace PetersonImage TypeGiemsaLight MicrographBright Field Renibacterium salmoninarum (bacterial kidney disease - BKD)