Bacteria

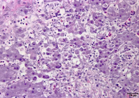
Liver damage caused by Piscirickettsia salmonis.
Host Tissue
liver
Photographer / Illustrator
Trace Peterson
Image Type
H&E
Light Micrograph
Bright Field