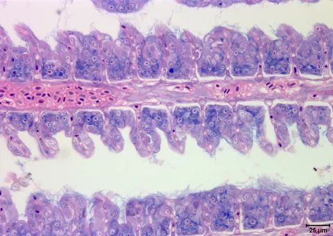
Bacteria

Flavobacterium branchiophilus (thin filaments) adhering to gill epithelium.
Host Tissue
gills
Photographer / Illustrator
Trace Peterson
Image Type
Giemsa
Light Micrograph
Bright Field