Bacteria

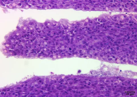
Flavobacterium branchiophilus (thin filaments) adhering to gill epithelium.
Host Tissue
gills
Photographer / Illustrator
Trace Peterson
Image Type
H&E
Light Micrograph
Bright Field