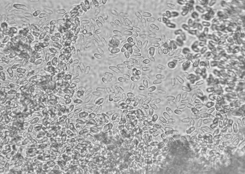
Ruptured microsporidian cyst showing individual spores.Hostsculpin (unspecified)Host TissueskinPhotographer / IllustratorStephen AtkinsonPathogen Life StagesporeImage TypeLight MicrographBright Fieldunstained