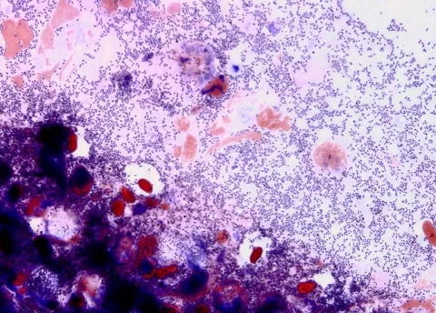
Renibacterium visible in histological section.Host TissuekidneyPhotographer / IllustratorCraig BannerImage TypeH&ELight MicrographBright Field Renibacterium salmoninarum (bacterial kidney disease - BKD)