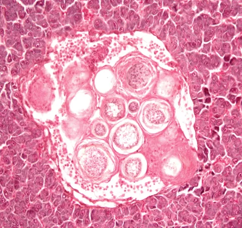
Ichthyophonus

Histological image showing muscle tissue infected with ichthyophonus.
Host Tissue
muscle
Photographer / Illustrator
Bob Olsen
Image Type
Other Stain
Light Micrograph
Bright Field