Glugea

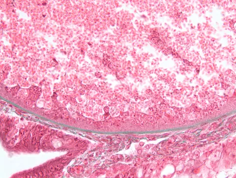
Boundary between host and Glugea stephani xenoma in kidney.
Host Tissue
kidney
Photographer / Illustrator
Bob Olsen
Image Type
H&E
Light Micrograph
Bright Field