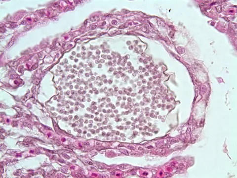
Dermocystidium

Dermocystidium cysts in gills.
Host Tissue
gills
Photographer / Illustrator
Bob Olsen
Image Type
H&E
Light Micrograph
Bright Field